QUICK

Signature
Animal
Hospital

다양한 내과 질환에 대한 영상학적, 내과적 관리가 모두 가능합니다.

내과 센터    >    심장내과

심장 내과

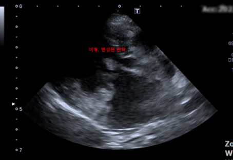
강아지는 사람보다 판막질환이 잘 발생하는 것으로 알려져 있습니다. 이첨판 폐쇄부전증은 이첨판 판막에 점액종성의 퇴행성 변성 및 비후가 일어나 판막의 폐쇄부전을 유발하는 질환입니다. 이러한 폐쇄부전으로 인해 판막이 제대로 닫히지 못해 역류가 발생하고, 결국 좌심방 내 혈액량을 증가시켜 울혈성 심부전까지 유발할 수 있는 질환입니다. 면밀한 검사를 통해 진행 단계를 평가하고, 그에 따른 내과적 관리가 중요합니다.

점액종성 승모판막 질환 (Myxomatous Mitral valve Disease, MMVD)

이첨판 폐쇄부전증 (Mitral valve Insufficiency, MVI)

증상

  • 기침
  • 수면 호흡수 증가
  • 호흡 곤란
  • 실신
  • 운동불내증
    기력감소
    식욕부진

어떤 검사를 해야 하나요

  • 신체검사
    (체중, 혈압, 심박, 청진)
  • 흉부 방사선 (X-ray)
  • 심장 초음파 (Echo)
  • 심전도 (ECG)​

이 외에도 다양한 선천 및 후천 심장질환에 대한 영상학적, 내과적 관리가 모두 가능합니다.