QUICK

Signature
Animal
Hospital

전담 수의사를 통해 재발 관리 및 모니터링을 지속하고 있습니다.

외과 센터    >    치과

치과

치석, 치은염 및 치주염은 구취의 원인이 되며 만성적인 통증으로 아이들의 삶의 질 저하에 원인이 됩니다. 주기적인 스케일링으로 치주염으로의 진행을 막아 건강한 치아 관리에 필수적입니다. 또한 치아가 부러지는 상황이 자주 발생합니다. 치아의 상태에 따라 신경치료, 레진 및 크라운등의 보존 치료가 필요할 수 있습니다. 본원에서는 내과 의료진과의 협진을 통해 노령견 및 여러가지 질환을 관리하고 있는 아이들의 보다 정확한 상태 파악 후 안정적인 마취를 통한 치과치료가 가능합니다.

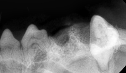
강아지 치근단 농양

치근단 농양 (치첨 농양)이란, 심한 치석, 치주염이나 외상으로 인해 치주조직에 염증반응이 생기게 되고 이것이 치아 뿌리로까지 진행되어 치아 뿌리에 염증이 생기게 되는 것을 말합니다.

관련된 임상증상으로는 치조골이 녹아 턱뼈가 약해져 병적골절 상태가 되거나 주변 조직으로 누관이 형성하여 염증성 물질 (농)이 흐르게 되며, 안면부 부종이 생길 수 있고 터지면 피부가 파열되어 육안으로도 염증성 물질을 확인하게 될 수 있습니다.

고양이 치아흡수성 질환

치아 흡수성 병변 (FORL)은 고양이의 치아가 자연스럽게 녹아서 흡수되는 질병입니다. 원인은 다양하지만, 일반적인 임상증상으로는 식욕부진, 잇몸 염증, 유연(침흘림), 통증, 씹지 않고 삼킴, 부드러운 음식 위주의 식이 등의 증상을 보이며 유형별로 흡수되는 위치가 달라, 눈으로 안보이는 경우가 많습니다. 내원 당시에 치아가 흡수되어 안보이는 경우도 있으며 이미 흡수가 시작된 치아의 경우 내과적인 치료만으로는 치료가 제한되고 밥을 잘 먹지 못할 정도의 통증이 동반되어 치과방사선 촬영으로 뿌리가 어느정도 흡수 되었는지, 부러진데는 없는지 육안상으로 보이지 않는 부분까지 꼼꼼히 확인한 후 발치를 진행합니다. 한쪽에 생기는 경우, 반대편에도 잘 생기기에 정밀한 치과방사선 촬영이 필요합니다.