QUICK

Signature
Animal
Hospital

특화 수술팀의 협력으로 가장 나은 치료 결과를 위해 노력합니다

특화 센터    >    중재시술센터

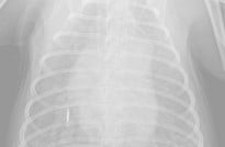
중재시술센터 (기관스텐트, 심장사상충 제거술)

시그니처동물의료센터 『중재시술 센터』에서는 기관 스텐트를 비롯한 동물 중재술을 특화 진료 분야로 두고 있습니다. 본원 의료진은 영국의 INFINITI Medical 사에서 실시하는 기관 스텐트 장착 트레이닝을 이수하였으며, 국내에서 기관 허탈이 많이 발생하는 품종과 체형, 체중을 고려한 대부분의 환자에게 즉시 적용할 수 있는 다양한 동물 전용 기관 스텐트를 다수 확보해 응급 상황에서도 정확하고 안전하게 기관 스텐트 장착이 가능하도록 노력하고 있습니다. 최근에는 국내 스텐트 제조회사와 동물 전용 기관 스텐트를 협력 제조하여 필요한 환자에게 이를 적용하고 있습니다. 영상 센터와의 협진으로 정확하고 국내 최다 케이스를 보유한 경험으로 각 환자에게 적합한 치료로 가장 나은 치료 결과를 위해 노력합니다.