QUICK

Signature
Animal
Hospital

다양한 내과 질환에 대한 영상학적, 내과적 관리가 모두 가능합니다.

내과 센터    >    소화기 내과

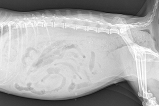
소화기 내과

말하기 어려운 우리 아이, 구토, 설사로 시작되는 단순 소화기 질환부터 이물, 만성 장병증, 소화기 관련 전신 질환 등에 대한 정확한 진단과 치료가 가능합니다. 췌장염, 장염, 만성 장병증 등 소화기 관련 중환자에 대한 24시간 집중 치료가 가능합니다.

단백 소실성 장병증 (PLE, Protein losing enteropathy)

비정상적으로 장에서 단백질이 소실되는 질환을 의미합니다. 다량의 단백질이 장을 통해 소실되기 때문에 저단백혈증이 발생하게 되고 이러한 저단백혈증이 심하게 진행되는 경우에는 저알부민혈증에 의해 혈관 내 삼투압이 감소하여 흉수와 복수 등 체강 내로의 액체 저류가 발생하게 됩니다. 이러한 흉, 복수로 인해 호흡곤란, 복부팽만, 활력저하 등의 증상이 나타날 수 있으나 질환의 초기에는 뚜렷한 임상 증상이 나타나지 않을 수도 있습니다.

단백 소실성 장병증을 유발할 수 있는 원인에는 염증성 장질환 (IBD, Inflammatory bowel disease), 림프관 확장증 (Lymphangiectasia), 만성 장염, 종양 등이 있으며 저알부민혈증을 유발할 수 있는 다른 질환을 배제하고 의심되는 장에 대한 내시경 검사 또는 조직 검사 등을 통해 진단할 수 있습니다.

췌장염

췌장은 소화효소를 분비하는 기능과 다양한 호르몬을 분비하는 기능을 가지고 있습니다. 이러한 췌장에 염증이 생기는 경우 소화효소의 누출로 주변 조직으로의 심한 염증을 유발하게 되며, 심한 경우 췌장의 괴사 및 전신 염증을 일으켜 사망에 이를 수 있습니다. 극심한 통증 및 구토 등 소화기증상을 나타냅니다. 췌장염의 원인은 특발성 외 다양한 기저질환에 의해서도 발생할 수 있으며 정확한 진단과 합병증 관리가 중요합니다.